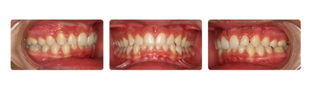
In this area a series a frequent types of malocclusions are presented, and the results of their treatment.
Cases has been treated in our clinic and the mean treatment time was between 18 and 24 months followed by 6-12 months of retention.
Some cases has been treated with fixed appliance self ligating SPEED, others with removable appliances, functionals depending on the indications, often completed with excercises of functional rehabilitation.
In adult patients, in some types of malocclusions, the invisible appliance Invisalign can be used. This appliance allow tooth movement in a lot of malocclusions in adult patients. Invisalign has still some limits, but due to the fact that is a technique in evolution, limits will be less.
| فک بالا بیمار کوچکتر و تنگتر از فک پایین بوده و داخل فک پایین قرار گرفته است و چون بیمار از سن رشد گذشته است نیاز به جراحی فک بالا و باز کردن آن میباشد که جراحی داخل مطب و به صورت بی حسی موضعی می باشد. |
![]() |
| پس از جراحی فک بالا وسپس ارتدونسی ثابت دندانها مرتب شده است: |
![]() |
| فاصله دندانهای جلویی فک بالا و پایین بسیار زیاد است و با پرکردن آن توسط کامپوزیت به تنهایی امکان پذیر نیست وتوسط ارتودنسی ثابت درمان انجام می شود: |
![]() |
| پس از پایان درمان به حد قابل قبولی فاصله ها بسته شده است ورضایت بخش است: |
![]() |
| فک بالا بیمار جلوتر از فک پایین بوده و چون سن بیمار از سن رشد نگذشته است نیاز به جراحی ندارد ودرمان متحرک نیاز دارد: |
![]() |
| درمان متحرک توسط پلاکهای اف ای تو داخل دهانی و هدگیر خارج دهانی انجام می شود: |
![]() |
| پس از گذشت دوسال درمان متحرک و همچنین ارتدونسی ثابت, دندانها وفک به وضعیت قابل قبولی رسیده است: |
![]() |
| فک بالا بیمار جلو بوده وبا فک پایین نیز فاصله داشته و روی هم قرار ندارند وچون در سن رشد میباشد تحت درمان متحرک قرار میگیرد. |
![]() |
| حال توسط پلاکهای متحرک پس از یک سال دندانها به وضعیت بهتری رسیده اند: |
![]() |
| در پایان استفاده از پلاکهای متحرک فک بالا عقب رفته وفکین روی هم قرار گرفته و مرحله دوم یا درمان ثابت ارتودنسی آغاز میگردد. |
![]() |
| فک بالا جلوترازفک پایین بوده وهمچنین روی هم قرار نمیگیرد و بدون کشیدن دندان و توسط پیچ های مینی اسکرو درمان میشود : |
![]() |
| فک بالا توسط دو پیچ که در کام بیمار قرار داده شده است عقب رفته است: |
![]() |
| پس از عقب رفتن فک توسط پیچها ودرمان ثابت دندانها نیز مرتب شده اند و سر جای خود قرار گرفته اند: |
![]() |
| پس از گذشت یک سال فک و دندانها همچنان دارای وضعیت مطلوبی هستند: |
![]() |
|
فک پایین جلوترازفک بالا بوده و همچنین دارای انحراف میباشد ونیاز به درمان توام با ارتودنسی و جراحی فک دارد. |
![]() |
|
پس از دو سال دندانها جلوتر آمده ووضعیت فک بدترشده وآماده جراحی میباشد. |
![]() |
|
پس از جراحی فک بالا و پایین روی هم قرار گرفته و به نتیجه مطلوب رسیده است: |
![]() |
|
پس از گذشت دو سال نیز وضعیت دندانها رضایت بخش میباشد. |
![]() |
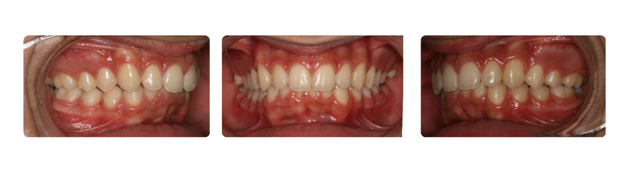
| فک بالا جلوتراز فک پایین و روی دندانهای فک پایین قرار گرفته است وچون از سن رشد نگذشته در ابتدا با پلاک متحرک درمان شروع میشود . |
![]() |
| در حین استفاده از پلاکهای متعدد متحرک درمان ارتدونسی ثابت نیز آغاز میشود: |
![]() |
| پس از پایان درمان متحرک وسپس درمان ثابت فکین ناهنجاری فک و بی نظمی دندانها برطرف شده است: |
![]() |
| پس از گذشت دو سال از پایان درمان نیز همچنان دندانها و فک ایده ال وهمچنین مطلوبتر نیز شده است. |
![]() |
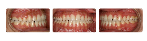
| فک بالا بیمار جلو بوده وبا توجه به سن بیمار با درمان متحرک و توسط دستگاه اف ای تو اصلاح می شودو نیازی به جراحی فک ندارد: |
![]() |
| پس از پایان درمان متحرک دندانها و فک به حد قابل قبولی رسیده و دیگر نیاز به درمان ثابت نیست : |
![]() |
| پس از گذشت دو سال از پایان درمان نیز همچنان وضعیت دندانها رضایت بخش است: |
![]() |
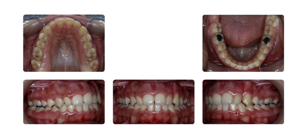
| دندانهای فک بالا و پایین دارای بی نظمی میباشند و با توجه به نبود فضا, بدون کشیدن دندان و توسط سیستم دیمون درمان میشوند: |
![]() |
| درمان با براکتهای دیمون نتیجه بخش است: |
![]() |
| پس از گذشت دو سال از درمان فک و دندانها مرتب شده و سر جای خود قرار گرفته اند: |
![]() |
| همچنین پس از گذشت یک سال از پایان درمان همچنان نتیجه رضایت بخش است: |
![]() |
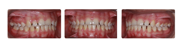
| فک پایین بیمار جلوتر از فک بالا قراردارد وهمچنین دندانهای فک بالا پشت دندانهای پایین قرار گرفته است ودندانهای نیش فک بالا بصورت نهفته می باشد: |
![]() |
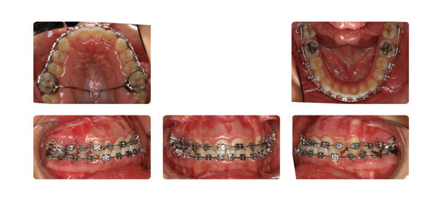
| دندان نهفته ی نیش سمت راست در قسمت کام وسمت چپ در زیر لب و بالای دندانها قرار دارد که توسط جراح لثه روی آن برداشته شده وتوسط ارتودنسی و براکتها به جای برده می شود: |
![]() |
| بعد از قرارگیری دندانها در جای خود ومرتب شدن آنها فک نیز آماده جراحی میباشد: |
![]() |
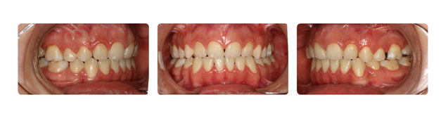
| پس از جراحی فک وپایان درمان ارتدونسی دندانها و فک به نتیجه مطلوبی رسیده اند: |
![]() |